豊胸手術にはどんな失敗リスクがあるのか 受ける前に知っておくべき事項のひとつですよねそして失敗リスクだけでなく失敗の回避法を知ることも重要ですここでは豊胸手術シリコンバッグ豊胸ヒアルロン酸豊胸アクアフィリング豊胸脂肪注入豊胸で実際に起こって. 胸の下の傷の位置が左右違う傷になることも 事前にきちんと話してくれて 親身に説明してくださって感動しました 太ももと腰から脂肪を除去し 胸の破損バックを取り出し 脂肪を注入する 傷跡を目立たなくすること.
3

大橋 昌敬を知る コンデンスリッチ豊胸の術後 動画まとめ

豊胸シリコンバック抜去 除去 美容整形 Kunoクリニック
約1週間後抜糸 ガミースマイル 歯肉切除法 381700円.

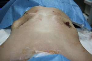
豊 胸 抜去 その後. 寺田 豊伊藤 宏 腎機能低下のある循環器疾患の治療成人病と生活習慣病41449-453 2011. 小坂俊光伊藤 宏 34胸痛井上智子佐藤千史編緊急度重症度からみた 症状別看護過程病態関連図医学書院pp564-573 2011. また各群の非妊娠牛ではその後の発情回帰やaiの間隔などに 影響はありませんでした 妊娠牛ではp4-d15群では双子妊娠の相対リスクが 他群と比べて25倍高くなりました ai後の黄体期初期にp4濃度を保つことで妊娠率のupが見込めそうです.
81-5775-3400海外からの電話 受付時間 1000 - 1900. 120000円 税込132000円 脇前後 200000円 税込220000円 胸. 約1週間後抜糸 ガミースマイル プロテーゼ法 381700円.
土谷 薫 安井 豊 第42回超音波ドプラ新技術研究会臨床研究集 肝細胞癌に対する穿刺治療における工夫 経皮的ラジオ波焼灼術RFAにおけるtwo-step insertion methodの有用性 安全で確実なRFA治療の普遍的な確立を目指して. 約1週間後抜糸 ガミースマイル 上唇挙筋切除法 381700円.

動画 ふっくらバストが手に入る シリコンバッグ抜去 コンデンスリッチ豊胸 豊胸 ヒップアップの解説

豊胸シリコンプロテーゼ抜去 奈良 樹のひかり形成外科 皮ふ科

他院バッグ抜去後の脂肪注入 バッグ抜去後の脂肪注入は3か月後の方が本当に安全 大橋昌敬の豊胸ブログ

同日手術3つのメリット 豊胸シリコンバッグ抜去後の脂肪注入豊胸 後編

シリコンバッグ抜去 アマソラクリニック

豊胸にシリコンバッグはもう必要ない
2

他院豊胸術後シリコン抜去 豊胸 胸の整形の症例 タウン形成外科クリニック Cs25059 美容医療の口コミ広場